
Dental Implant Solutions
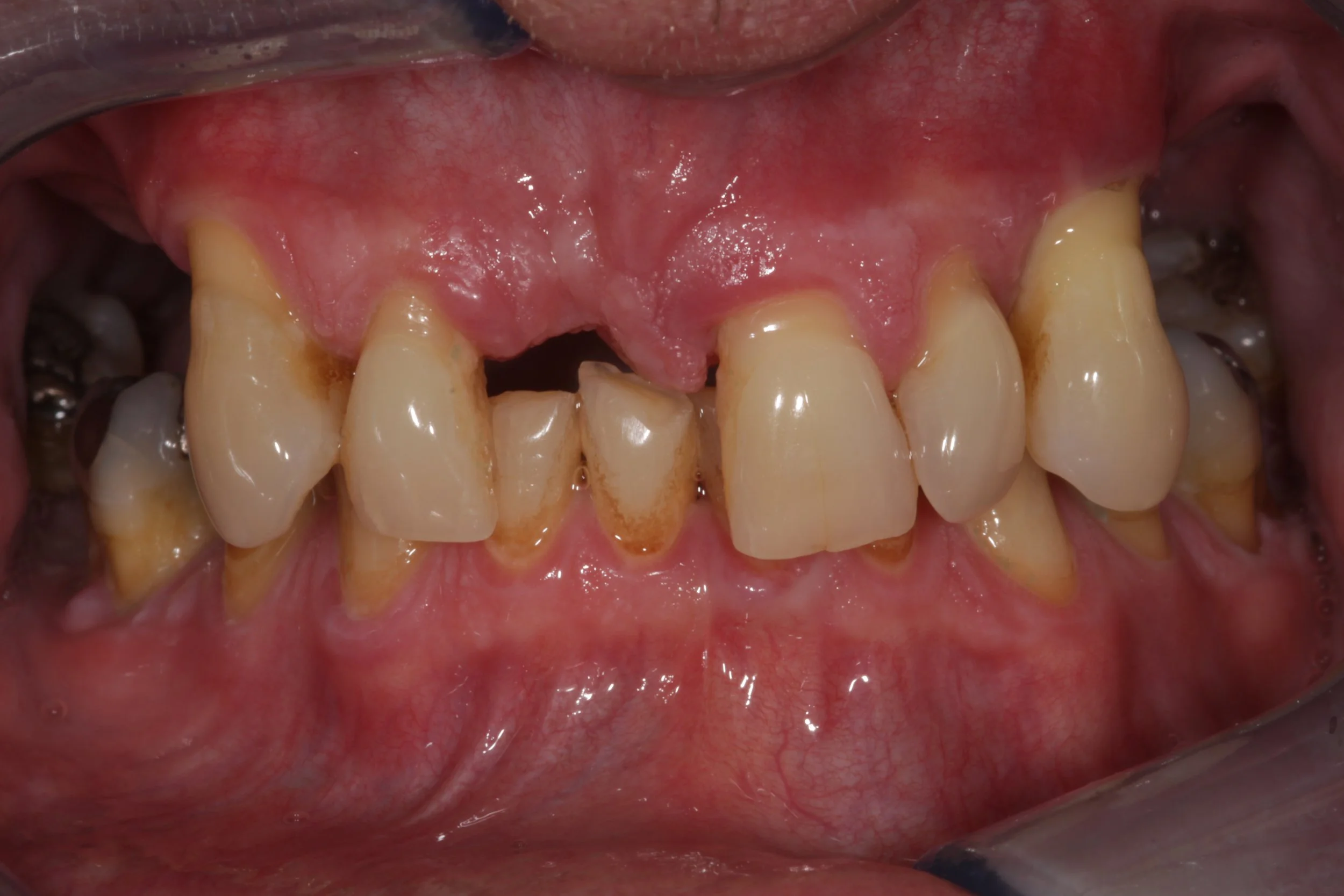
Meet my wonderful patients who’ve regained their confidence and joy through dental implants. Watch as their smiles light up from before to after, showing the incredible difference a set of healthy teeth can make. It blows me away that we have the materials and techniques to replace missing teeth! Every time I look at them, these transformations just make me smile along with them.










